People use dentures, made of plastic or metal, to replace missing or missing teeth, so they can enjoy a healthy diet and smile with confidence.
Dental bonding
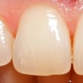
is one of the most in-demand procedures in dentistry today and is used to repair decayed teeth due to tooth decay or trauma. Dental fillings are also used for this purpose, but the restorative material used doesn't look as natural as dental adhesives. Dentist near Atlanta GADentist near Atlanta GA can provide teeth whitening, which has become a very popular dental treatment in recent years and is a simple, affordable and effective way to brighten your smile. For those looking for a Pediatric Dentist in Summerville SC, there are many experienced professionals available to provide quality care. It works to remove stains and yellowing from teeth and is a simple procedure that is performed in a dental office or with a kit to take home.Veneers are an excellent long-term solution, as they are robust and do not stain. Invisalign is the modern replacement for metal braces and is typically worn 22 hours a day and replaced every two weeks. Fillings are often the first line of defense against tooth decay. When acids (from bacteria in the mouth) break down enamel, the result is a hole in the tooth known as a cavity.
Fillings can fill the hole and are usually made of composite materials that blend perfectly with natural teeth. Dental crowns can often protect broken or otherwise damaged teeth by acting as covers that surround the entire tooth. They can also work together with dental implants or bridges (they act as anchors for the bridge). These devices usually consist of porcelain, gold, or other metals.
Tooth extractions are a procedure that most people dread, even if it doesn't cause much pain. An extraction is the removal of a tooth from the socket of the mandible and usually treats broken teeth, severely decayed teeth, and wisdom teeth. If you feel anxious about going to the dentist or about dental treatment, you can help overcome your fears by relaxing or sedating. At-home teeth whitening consists of custom-made dental trays filled with hydrogen peroxide gel that you can use at home.
Tooth bonding is a technique used to correct tooth imperfections and give you a more attractive smile. A dental bridge is a structure between two dental crowns to fill the space between missing teeth. Dental implants are essentially artificial roots that are used instead of teeth, which are inserted into the gum. Putting sealants on your teeth will save you money in the long run by avoiding dental fillings, crowns, and other dental treatments.
Whether you're new to the dental office or are an experienced professional, these are the standard dental procedures you should offer. If you're looking to make a name for yourself as a dental office and want to spread the word about your dental procedures, ADA Marketplace is your answer.


