Gum contouring is a great cosmetic dental option for treating a gummy smile. An aesthetic Dentist in Deerfield WIaesthetic Dentist in Deerfield WI can sculpt and shape the gumline to improve the aesthetics of your smile and increase your self-confidence. No, because your Dentist in Deerfield WI will administer a local anesthetic before starting the procedure. You may feel some discomfort after surgery, but you can take over-the-counter pain relievers, such as Tylenol or ibuprofen. You can also apply a cold compress to constrict blood vessels and reduce swelling.
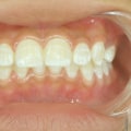
What is gum contouring? This is a cosmetic procedure used to change the shape of the gums. A Chatsworth dentist can use this procedure to cut off excess gum tissue that is giving you a “gummy smile” or to restore gingival tissue that has regressed and now reveals too much of the teeth. If your gums rest too low or too high on your teeth and you're unhappy with your smile, you may be a candidate for gum contouring surgery. Also known as gum remodeling or tissue sculpting, this cosmetic dental procedure can level out an uneven gumline and give you a smile you can be proud of.
While this is most often cosmetic surgery, it is also done to combat periodontal disease. We looked at what gum contouring is and if it might be right for you. A cosmetic dentist performs this dental procedure to improve the appearance of your smile and increase your confidence. People interested in doing this should check with the dentist and dental insurance representative to determine if it's cosmetic.
Yuri Bershadsky is a leading Los Angeles dentist who specializes in cosmetic dentistry, veneers, crowns, dental implants, and pain-free relaxation dentistry.


