How important are dental visits?
Visiting the dentist is very important and in our last blog we have compiled 5 main reasons why you should visit your...
Does a dental implant hurt more than a root canal?
Both root canals and implants address serious dental problems, but they come with different levels of discomfort. On the...
What Does a General Dental Exam Include?
A dental exam with a Dentist near Austell GA is an important part of maintaining good oral health. It typically includes...
Can eroded tooth enamel be repaired?
Tooth enamel can't grow back because it's not living tissue. Unlike a bone fracture that the body can repair, once a...
What exactly happens in a root canal?
Endodontics treats infected dental pulp by removing it, filling the canal and sealing the tooth with a crown. Endodontics ...
What is the most popular dental procedure?
Tooth cleaning is one of the most common general dentistry procedures. It involves removing plaque and tartar from the...
Can you stop gum disease once it starts?
Gum disease is not curable, but it can be controlled with appropriate treatment. It cannot be cured because, once the...
Are there any alternatives to traditional braces that use a cosmetic dental procedure?
Clear aligners like Invisalign are the most popular alternative to orthopedic braces for adults. Invisalign can correct...
Can you restore worn enamel?
Tooth enamel can't grow back because it's not living tissue. Unlike a bone fracture that the body can repair, once a...
How much does a cosmetic dentist cost?
Placing a dental abutment and crown on a single dental implant involves an additional cost. If you are looking for a...
How does a tooth crown work?
A dental crown is a tooth-shaped cap that restores a decayed, broken, weak, or worn tooth. Dentists also use crowns to...
What is the latest treatment for receding gums?
It's due to a number of factors, such as aggressive brushing, smoking, and even genetics. Treatments include antibiotics, ...
What is a Full Dental Check-Up and Why is it Important?
A full dental check-up is an important part of maintaining good oral health. It involves a comprehensive examination of...
What happens during a filling?
What happens during a dental filling procedure? · Numb the tooth with local anesthesia. Once the anesthesia has had time ...
How bad is the pain from dental implant surgery?
Dental implant surgery near Alpharetta GA involves trauma to both the gums and the jaw. The surgery itself should not...
What happens when you don't go to the dentist for 10 years?
Since you haven't been to the dentist for several years, you probably have a buildup of plaque around your teeth. This is ...
Is there a way to reverse enamel erosion?
Topical fluoride is the most common treatment for early-stage enamel erosion. Fluoride helps strengthen enamel and...
What is the most common complication of implants?
Dental implants can cause complications, such as infections, gum recession, and nerve and tissue damage. However, if you...
Is a dental hygienist higher than a dentist?
Both dentists and dental hygienists play vital roles in oral health, but they differ in terms of academic requirements,...
What are the signs of oral cancer?
Red ulcer from mouth cancer · An ulcer on the lips or in the mouth that doesn't heal. It's not always clear what causes...
What happens if you don't go to dentist for cleaning?
If you smoke, are pregnant, already have gum disease, have diabetes, or have frequent tooth decay, you may be at greater...
Can discolored teeth be fixed?
The good news is that, in many cases, dental treatment can restore damaged teeth. However, you'll need a dental...
What is a cosmetic dentist?
A cosmetic Dentist in Verona WI is responsible for a variety of procedures, from minor corrections to major surgeries....
How to Prevent Tooth Sensitivity and Keep Your Teeth Healthy
If you are looking for a Dentist near Fitchburg WI, having sensitive teeth can be a real pain, literally. From hot and...
Is dental hygiene better than dentistry?
Both dentists and dental hygienists play vital roles in oral health, but they differ in terms of academic requirements,...
When should you not have a tooth implant?
The main reason is that if bones and the body don't heal properly, the body's bone does. The minimum age for dental...
How Often Should You Visit the Dentist?
Visiting the dentist near Acworth GA at least once a year is a reasonable goal for most people, although some evidence...
Is getting a filling painful?
Does it hurt to put on a filling? Placing a filling shouldn't hurt because the dentist will use local anesthesia to numb...
How to Safely Whiten Your Teeth at Home
Teeth whitening is a popular solution to combat tooth discoloration caused by drinking coffee, eating certain foods,...
Is there another way to straighten teeth without braces?
In most cases, you will receive restraints after wearing braces. However, it's a different case for adults, who only need ...
What is a Comprehensive Dental Exam on Your First Visit?
When you visit the Dentist near Powder Springs GA for the first time, you can expect to receive a comprehensive dental...
What should you not do before a dentist appointment?
DO NOT brush or floss excessively. It's a good idea to call the office 24 hours in advance to confirm your appointment.
Can badly stained teeth be whitened?
Professional whitening works best on surface (extrinsic) stains. However, some whitening products can also remove deep...
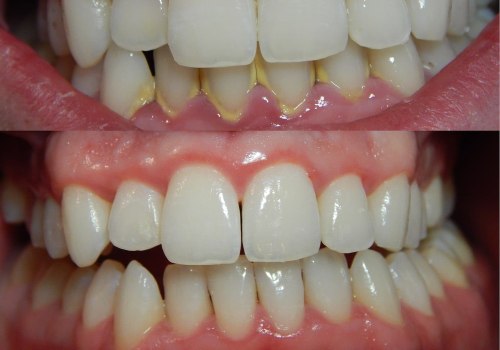
Gum Recession: What Can a Dentist Do to Help?
Mild cases of gum recession can be improved with nonsurgical treatments, such as topical antibiotics, dental adhesives,...
What is a Dental Crown and How Does it Help Your Teeth?
A dental crown, also known as a "cap", is a common procedure for many individuals. It is an artificial restoration that...
What can i take for anxiety before dentist appointment?
There are several ways your Dentist in Cambridge WI can help reduce anxiety with medications through different levels of...
What is the definition of dental services?
Oral hygiene is the practice of keeping the oral cavity clean and free from diseases and other problems by regularly...
Can you get cosmetic bonding?
Dental bonding is a popular cosmetic procedure offered by Dentist in Smyrna GA that uses a tooth-colored composite resin...
What is the recovery time for a cosmetic dental procedure?
A patient may need two to three days to recover from fixed bridges, dental bonding, or placement of a dental crown near...
What are the treatment options for impacted teeth?
Rinse your mouth with warm salt water. When canine teeth are impacted, dental eruption aids can be used to help the tooth ...
What is the cheapest way to replace a missing tooth?
Without a doubt, a removable denture or a partial removable denture are the most cost-effective solutions for replacing...
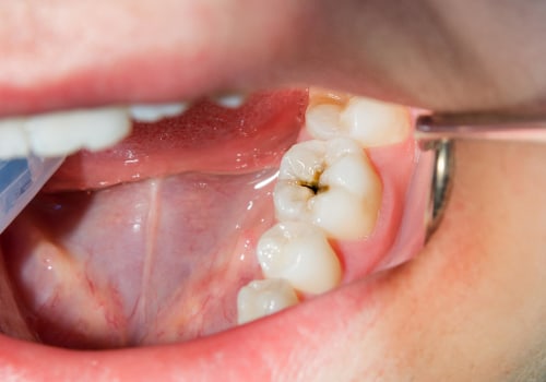
How can i tell if i have cavities?
While cavities are hard to see in the early stages, you may notice a small white, calcareous area on your tooth enamel....
How long can you go without a dentist?
The recommended maximum amount of time between dental appointments is six months. However, your dentist in Juneau may...
Can you stop a cavity once it starts?
Tooth decay can be stopped or reversed at this point. Enamel can repair itself using minerals from saliva and fluoride...
What to expect on your first dentist visit at Merchants Walk Dental?
At Merchants Walk Dental in Marietta GA you can expect a complete exam of your teeth, jaws, bite, gums, and oral...
What don't they tell you about implants?
Dental implants look natural, but materials and technique matter · 2.Have you ever wondered what they don't tell you...
Is it painful to get a crown?
Obtaining a crown should be a virtually painless process from the first visit to the last. Your mouth will be numb before ...
How can i prevent gum disease naturally?
Eating a healthy diet rich in vitamins and minerals can also help prevent gum disease and other oral conditions. The last ...
What cosmetic dentistry can do for you?
Common cosmetic dental procedures include teeth whitening, dental bonding, and veneers. If you are looking for a Dentist...
Is it possible to fix stained teeth?
Dentists can offer professional teeth whitening treatments in the office or at home. These methods use hydrogen peroxide...
Do dentists or dental hygienists fill cavities?
Dentists are tasked with filling cavities, extracting teeth, treating gum disease, and can issue medical prescriptions....
Can a dentist add length to a tooth?
A lesser-known cosmetic dental procedure offered by a Dentist in Mountain Park GA is tooth lengthening. If you feel that...
Do you need to see a dentist every 6 months?
The general rule of thumb for how often you should go to the Dentist near Acworth GA is twice a year or every 6 months....
How do you stop sensitive teeth naturally?
Are you wondering how to treat a sensitive tooth naturally? There are simple remedies such as rinsing with salt water,...
What services does a cosmetic dentist provide?
Common cosmetic dental procedures include teeth whitening, dental bonding, and veneers. Cosmetic dentistry aims to create ...
What is a dental cleaning?
Dental cleaning is part of oral hygiene and involves removing dental plaque from the teeth with the intention of...
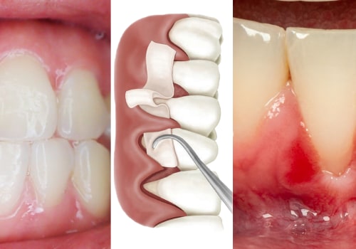
Is veneers a cosmetic procedure?
Dental veneers are a popular cosmetic treatment offered by Dentist in Smyrna GA. In other words, they improve your smile, ...
What to expect at your first dental appointment?
Your first visit to the dentist usually serves as an introduction to your dentist and team. After some initial steps, the ...
What is the best option for replacing missing teeth?
Do you have missing teeth or are you having problems with a denture or bridge that doesn't fit? If so, you should...
Is there a downside to implants?
The only negative side effects of having dental implants are infection of the dental implant site after surgery or dental ...
What Services Does a Dentist Offer?
General dentistry is the most common field of dentistry, and a general dentist provides checkups and cleanings to...
What happens if you don't go to the dentist regularly?
Untreated tooth decay and gum disease can result in the loss of one or more teeth. Long-term negligence is one.
What do dentists offer?
General dentists usually practice family dentistry. They offer a wide range of services, from sealants and teeth...
Can tooth sensitivity go away?
Sometimes tooth sensitivity goes away on its own, especially after a visit to the dentist. But if your teeth hurt when...
What is a dental x-ray?
Dental x-rays, commonly known as X-rays, are x-rays used to diagnose hidden dental structures, malignant or benign...
What is a bridge?
A bridge is a structure built to overcome a physical obstacle (such as a body of water, a valley, a road, or a railroad)...
How can i find a qualified cosmetic dentist in my area?
Dr. Edward Camacho, a cosmetic Dentist in Powder Springs GA from San Antonio, TX, creates beautiful, natural-looking...
What happens during a dentist exam?
In a typical dental exam, a hygienist will clean your teeth. The dentist will then examine your mouth.
Is it possible to fill gap between teeth?
There are many options for filling gaps in teeth or replacing missing teeth, such as bonding, Invisalign, and dental...
What is a dental check-up called?
A dental exam is part of a checkup of your teeth and gums. When you go to the dentist for a checkup, the visit usually...
What is the most painful part of a dental implant?
The most painful part of a dental implant for those living near Buckhead GA is the actual drilling process, which is...
What happens if you don't go to the dentist for 10 years?
Since you haven't been to the dentist for several years, you probably have a buildup of plaque around your teeth. This is ...
What does a new patient dental exam consist of?
This test may include detecting soft spots on the enamel, measuring bite alignment, or signs of oral cancer or...
How painful is a root canal?
Thanks to modern anaesthesia, root canals are usually no more painful than placing a filling. You may feel pressure...
Do you need to go to the dentist every 6 months?
Do you have to go to the dentist every six months, regardless of how your mouth is “working”? Strictly speaking, the...
How Often Should You Get a Dental Cleaning?
It is generally recommended that patients should get a professional dental cleaning every six months, especially for...
How difficult is it to be a dental hygienist?
The difficulty of dental hygiene school near Marietta GA is subjective and can be influenced by several factors, such as...
What is the easiest dental procedure?
People aren't always happy to go to the dentist for a filling. This is understandable, but filling a cavity is one of the ...
What is a cosmetic veneer?
A veneer is a wafer-thin layer custom-made of tooth-colored materials designed to cover the front surface of the teeth...
What is the best quality of artificial teeth?
In addition, porcelain dentures provide excellent aesthetics, as replacement teeth look much more like natural teeth....
What's a dentist called?
General dentist · Dentist or pediatric dentist · Orthodontist · Periodontist or gum specialist · Endodontist or...
What is meant by cosmetic dentistry?
Cosmetic dentistry is the branch of dentistry that focuses on improving the appearance of your smile. The most common...
How long do veneers last for?
On average, porcelain veneers last 10 to 15 years, while composite veneers typically last 5 to 7 years. Several factors,...
What is a Filling and How Does it Help Repair Teeth?
A filling is a material used to repair small holes or cavities in teeth. It is a simple or combined material made of...
Preventing Gum Disease and Gingivitis: A Guide for Oral Health
Maintaining good oral health is essential for preventing gum disease and gingivitis. Regular visits to the Dentist near...
What are the most painful dental procedures?
Most people associate endodontics with a lot of pain and discomfort, but the reality is that it doesn't cause pain but...
What is an initial exam at the dentist?
The initial exam will include a thorough inspection of the mouth, tongue, and teeth. The Dentist near Sun Prairie WI may...
Are there any treatments available for sensitive teeth or gums?
The Dentist near Kennesaw GA may apply fluoride to sensitive areas of the teeth to strengthen tooth enamel and reduce...
How often does the average person go to the dentist?
The short answer to the question “How often should you go to the dentist? is, for most people, at least once a year, as ...
Is it normal to not go to the dentist for 10 years?
Unfortunately, dentistry is very expensive and. If you haven't been to the dentist for quite some time, you'll need...
How can i prepare for my appointment with a cosmetic dentist?
When searching for a reliable Dentist in Morrisonville WI, it's important to consider the commitment involved in cosmetic ...
Can a regular dentist do gum contouring?
Many general dentists in Black Earth WI can perform gum contouring. Before undergoing the procedure, make sure your...
What is the Cost of a Dental Checkup? An Expert's Guide
Having regular dental exams is essential for maintaining good oral health. But what types of dental exams are there, and...
Why is a dentist called a dentist?
Originally from the French dentiste (175), from the Latin dens meaning tooth, this word means a professional who cleans,...
What is the highest qualification for a dentist?
The highest degree you can earn in the field of dentistry is a doctorate in dentistry, either doctor of dental surgery...
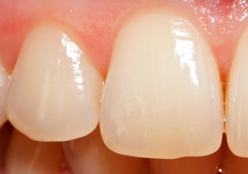
What is the purpose of a veneer?
Veneers adhere to the front surfaces of the teeth to hide chips, cracks, discoloration, and other aesthetic...
Does cosmetic teeth whitening damage enamel?
Yellow tooth discoloration is the most common sign of damaged enamel. This begs the question “Does teeth whitening...


































































































