Top Of The Week

What are 3 things dentist do?

Dentists are health care providers who diagnose and treat oral health conditions. They help keep your teeth and gums in...

What are the risks associated with cosmetic dentistry?

Teeth chipping and cracking are other potential problems. Some people experience tooth discoloration even after cosmetic...

What is the most popular cosmetic dental procedure?

The 5 Best Cosmetic Dentistry Treatments to Make Your Smile Glow · Advanced Teeth Whitening · Veneers · Cosmetic...

How can i prevent tooth decay naturally?

Many home treatments are based on a study from the 1930s that suggested that tooth decay is caused by a lack of vitamin D ...

Can i get gum contouring using a cosmetic dental procedure?

Gum contouring is a great cosmetic dental option for treating a gummy smile. An aesthetic Dentist in Deerfield WI can...

What causes you to need a root canal?

Endodontics are necessary for a fractured tooth due to injury or genetics, deep decay, or problems caused by a previous...

Highlights

Do you need a high gpa to be a dentist?
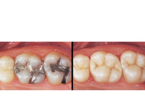
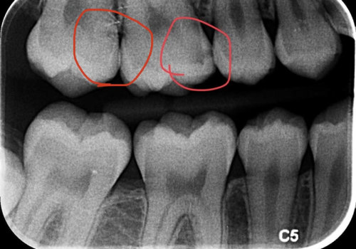
What is a filling on a tooth?

What is a filling on a tooth?

What are the types of dental care?

What are the types of dental care?

Top Of The Month

How long can you go without a dentist?

Editors Picks

What are Dental Implants and How Can They Help You?

What are Dental Implants and How Can They Help You?

Dental implants are medical devices that are surgically implanted in the jaw to restore a person's ability to chew or...

What are the Most Common Procedures Done by a General Dentist?

What are the Most Common Procedures Done by a General Dentist?

Tooth fillings are one of the most common procedures done by a Dentist near Johns Creek GA. They are used to treat...

Can i get tooth lengthening using a cosmetic dental procedure?

Can i get tooth lengthening using a cosmetic dental procedure?

Crown lengthening can also be done by a Dentist Madison WI as a cosmetic procedure to help you achieve your desired smile ...

How can i make sure my teeth stay healthy between visits to the dentist?

How can i make sure my teeth stay healthy between visits to the dentist?

Stay away from sugary and sour drinks. Dietary choices can have a big impact on your dental health, especially if you're...

What to Expect During a New Patient Dental Exam

What to Expect During a New Patient Dental Exam

As a new patient, visiting the Orthodontist in Midland NC for the first time can be a bit intimidating. But at Sunshine...

Is it ever too late to fix gum disease?

Is it ever too late to fix gum disease?

Periodontal disease, if left unchecked, can certainly lead to tooth loss. However, with timely intervention, consistent...